My great friend Amber, Brandon’s mom, is my inspiration for today’s post. She has walked this journey with me from the very beginning, and has been a wonderful friend and support for me all these years. I love her attitude and her perspective.
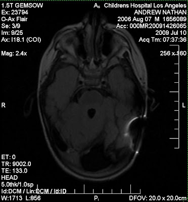
Talking about perspective, below are a few pictures of Nathan’s brain:
![]() |
| From ax t2 gre s |
![]() |
| From o-ax t1, flair |
![]() |
| From o-ax flair |
![]() |
| From 3 pl t2 fgre s |
Here are a couple of examples of a healthy brain:


When I look at these pictures it reminds me of just HOW amazing Nathan is. You don’t need to be a neuroscientist to see the abnormalities in his brain. This is a child with not only severe holoprosencephaly, he has suffered damage from hydrocephalus and bacterial meningitis. I can easily name 50 things wrong with his brain. And if I wanted to start labeling all of his diagnoses,well, it would be a long post indeed.
I am just awestruck by just how extraordinary Nathan is! He is so smart, so funny, so sweet and sensitive. He’s so curious and loves to learn. He understands SO MUCH. He eats like a champ (have I mentioned that he’s now 28.5 lbs??!!). He’s starting to say words consistently: more, elmo, agua (water), nalga, orange, mama…today he even said BELLE! He laughs at everything. He only takes 1 prescription medication. Hasn’t been hospitalized in 2.5 years, and has only had shunt surgery. He is passionate about books and loves watching people. He is the biggest love/cuddle bug in the planet!
I know he hasn’t made much progress in motor skills…but when I look at those pictures of his brain and look at the child in front of me, I feel so much gratitude! He has overcome SO MUCH to be the extraordinary little boy he is today. I used to think that I would only feel truly happy when I’d gotten Nathan to some degree of physical functionality. I was so wrong! This child gives me so much happiness, just from being!
Talking about fun, today we went shopping for newborn clothes for Belle! We went with Nathan’s grandma, great-grandma, and greatauntma and they helped us pick out a bunch of outfits. Nathan had such a great time – he looked like a little prince surrounded by his adoring entourage. He is feeling much better – the doctor saw him and said his ear infection is clearing nicely and his chest is fully healed – he’s off all breathing meds. We’re just finishing off the antibiotics. We plan on heading back to Irvine Monday morning to continue our HBOT/suit therapy adventure!




